Nyomtatás
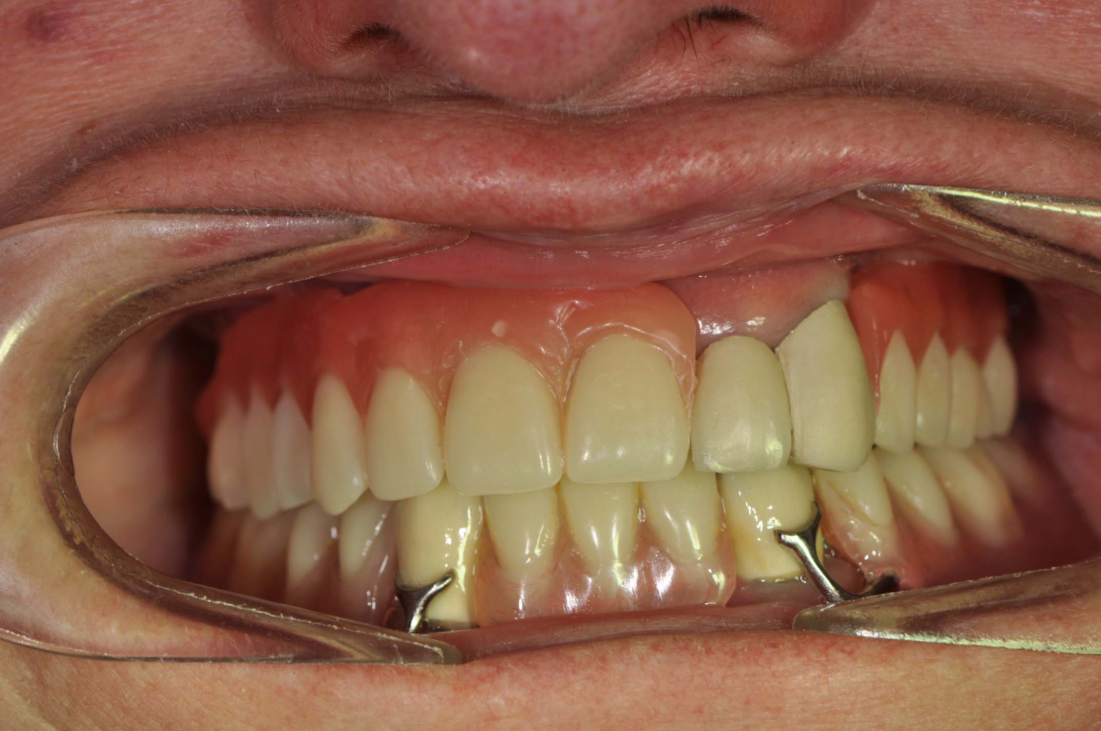
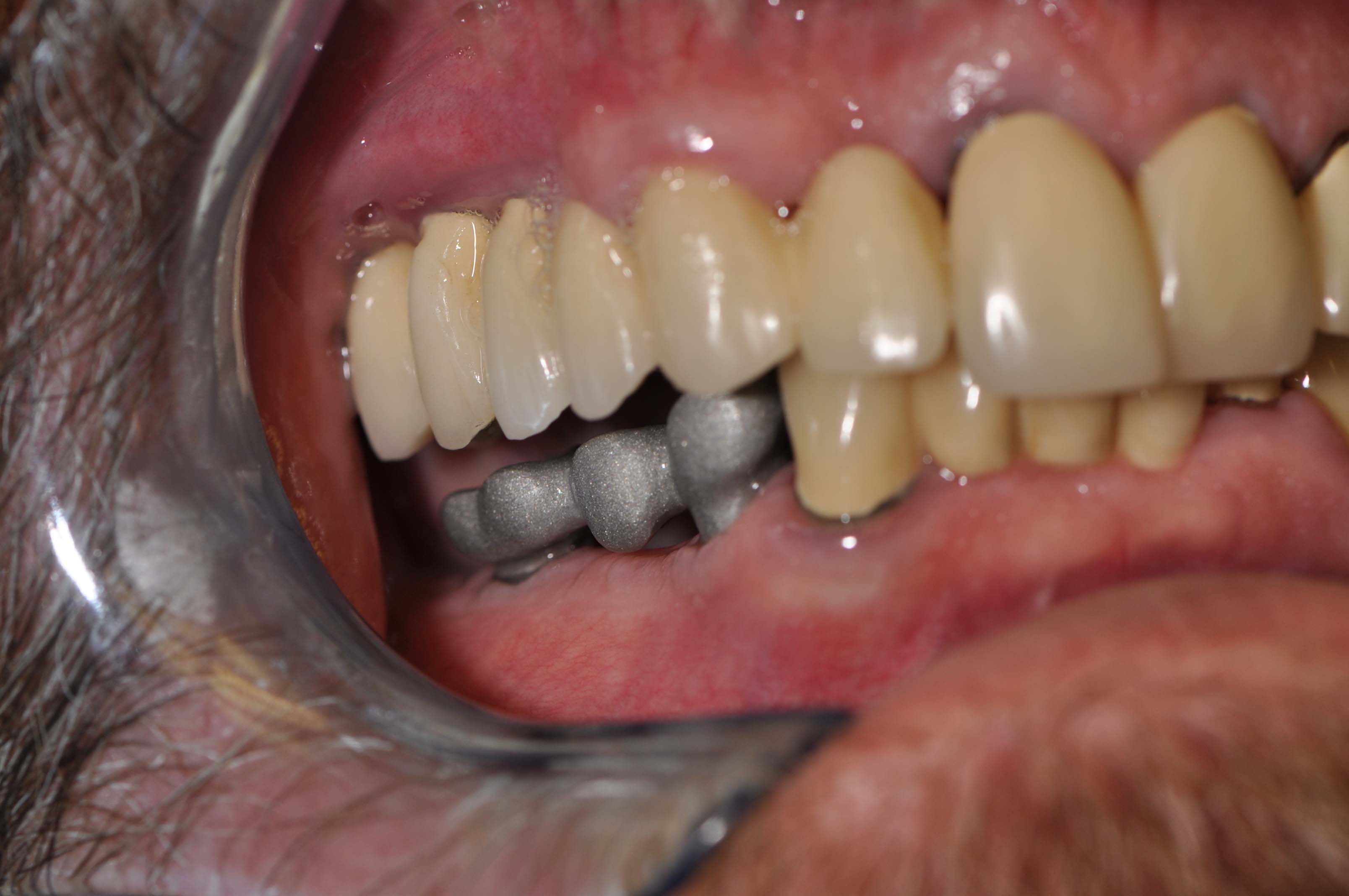
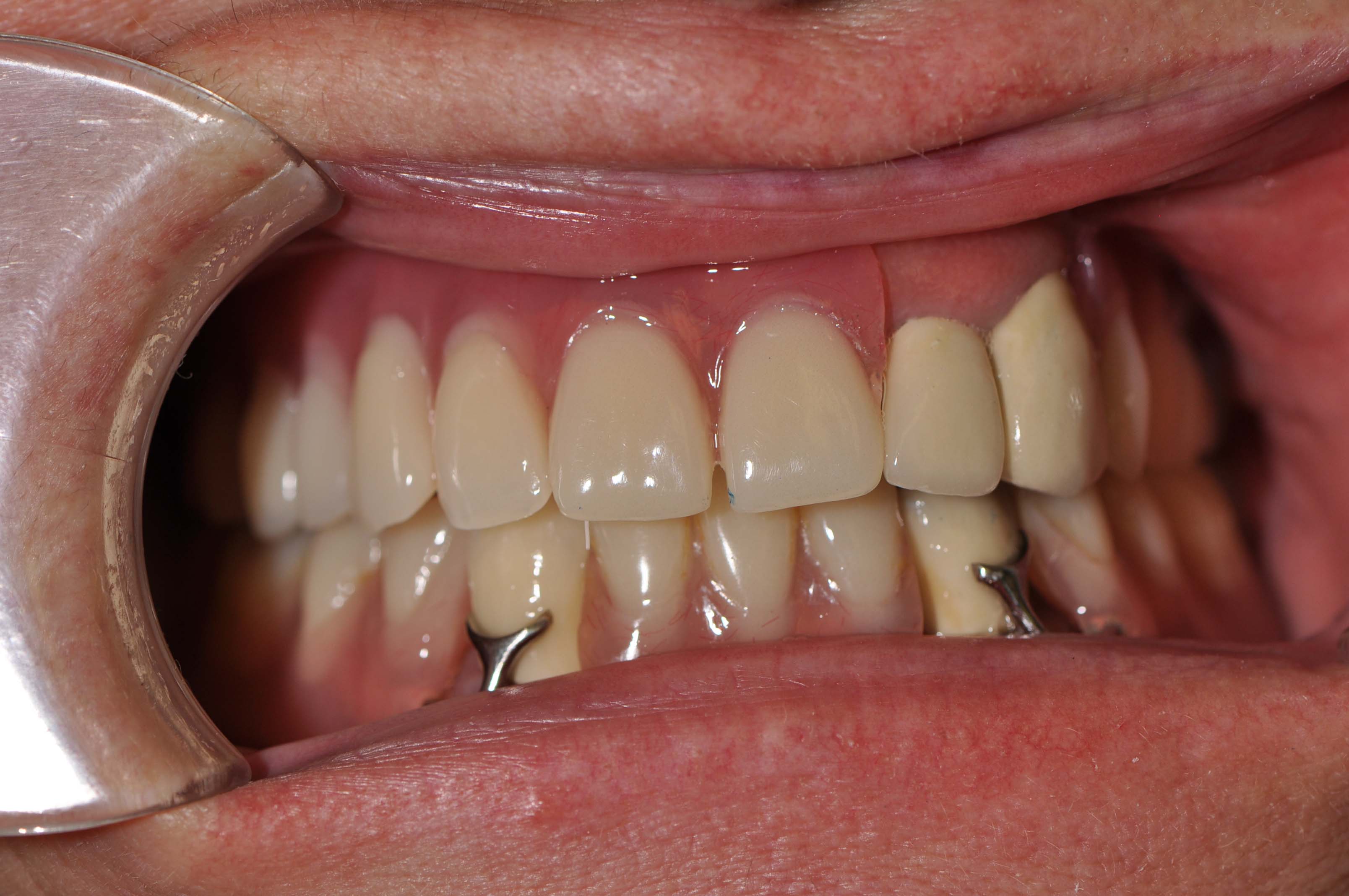
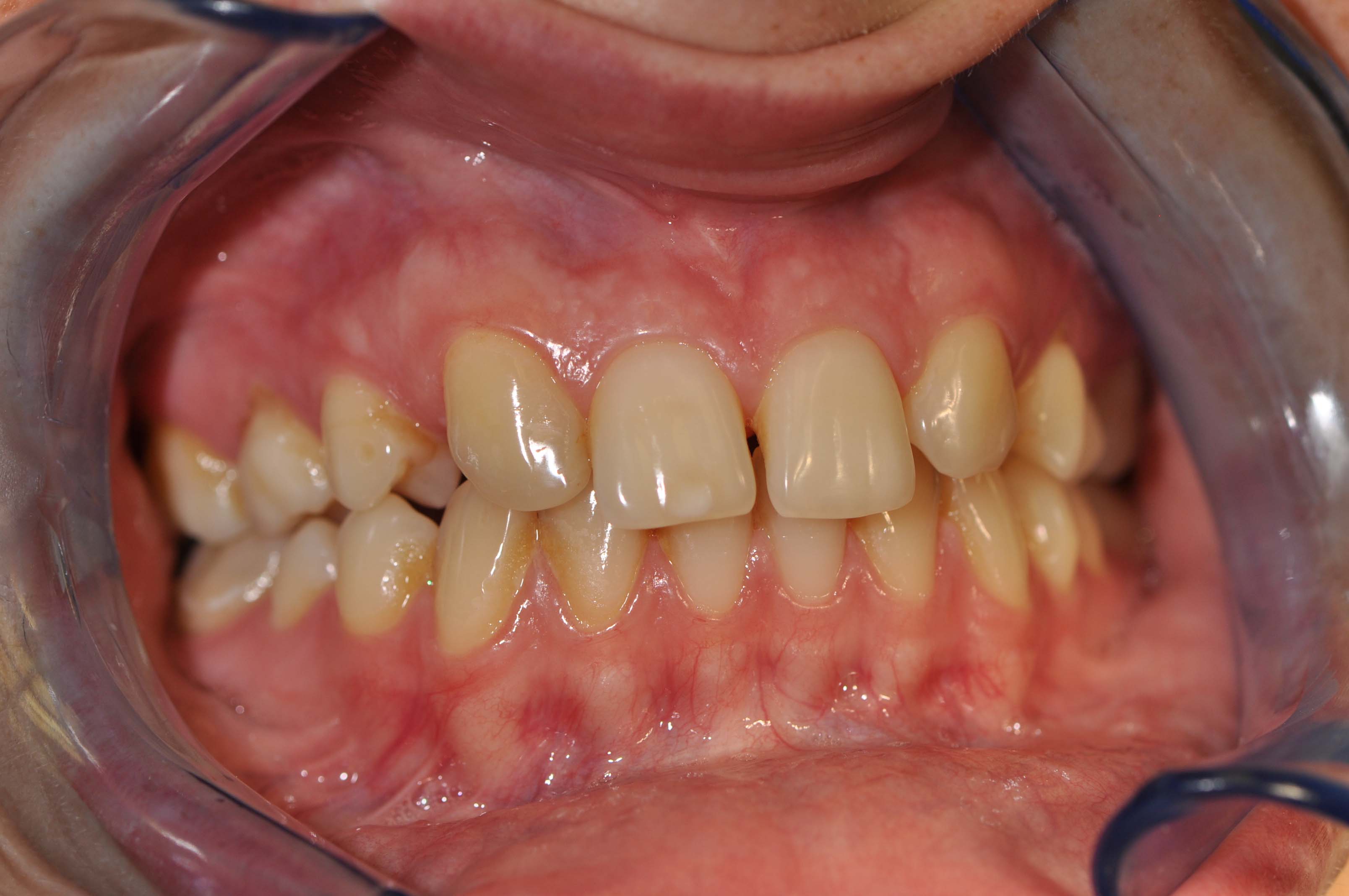
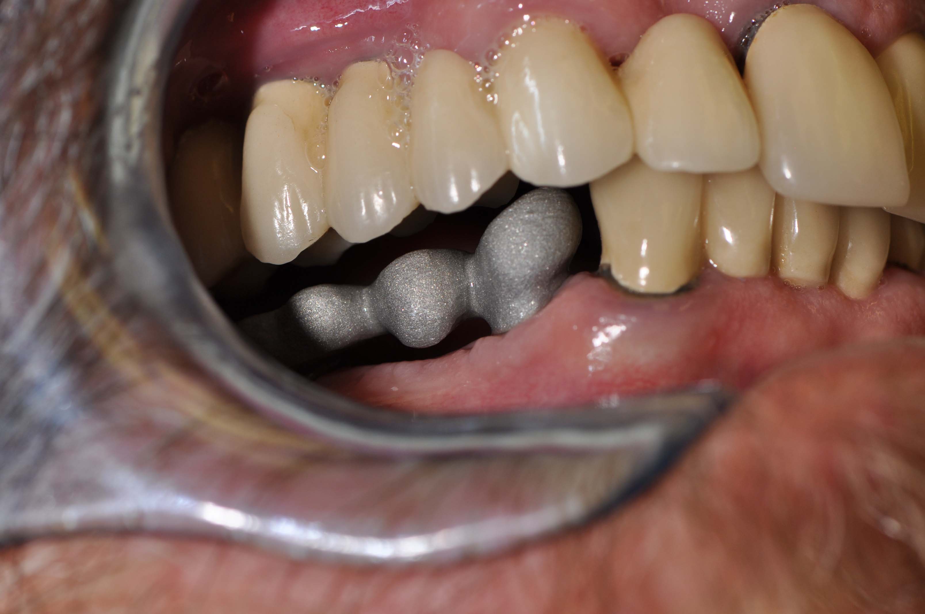
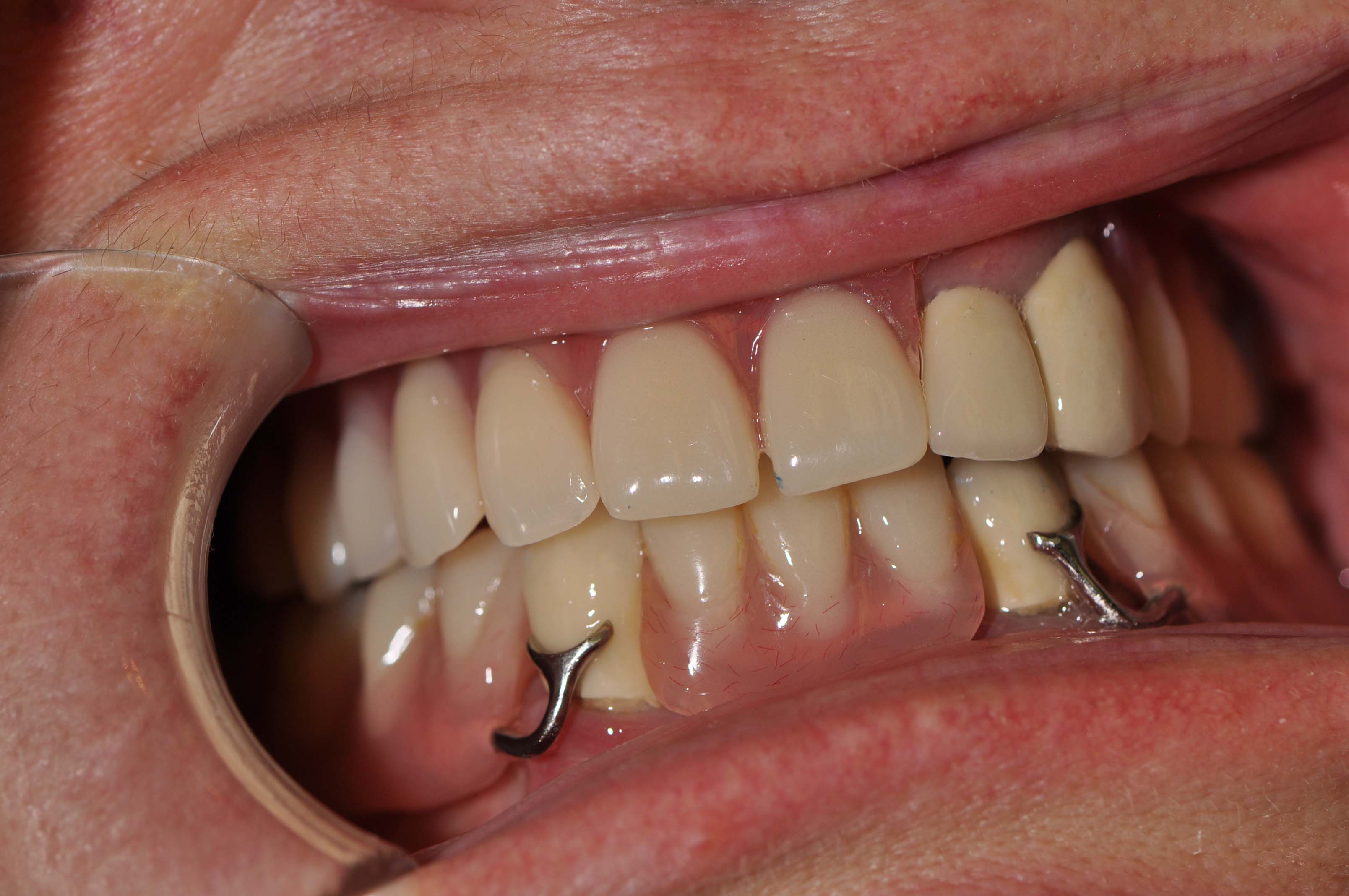
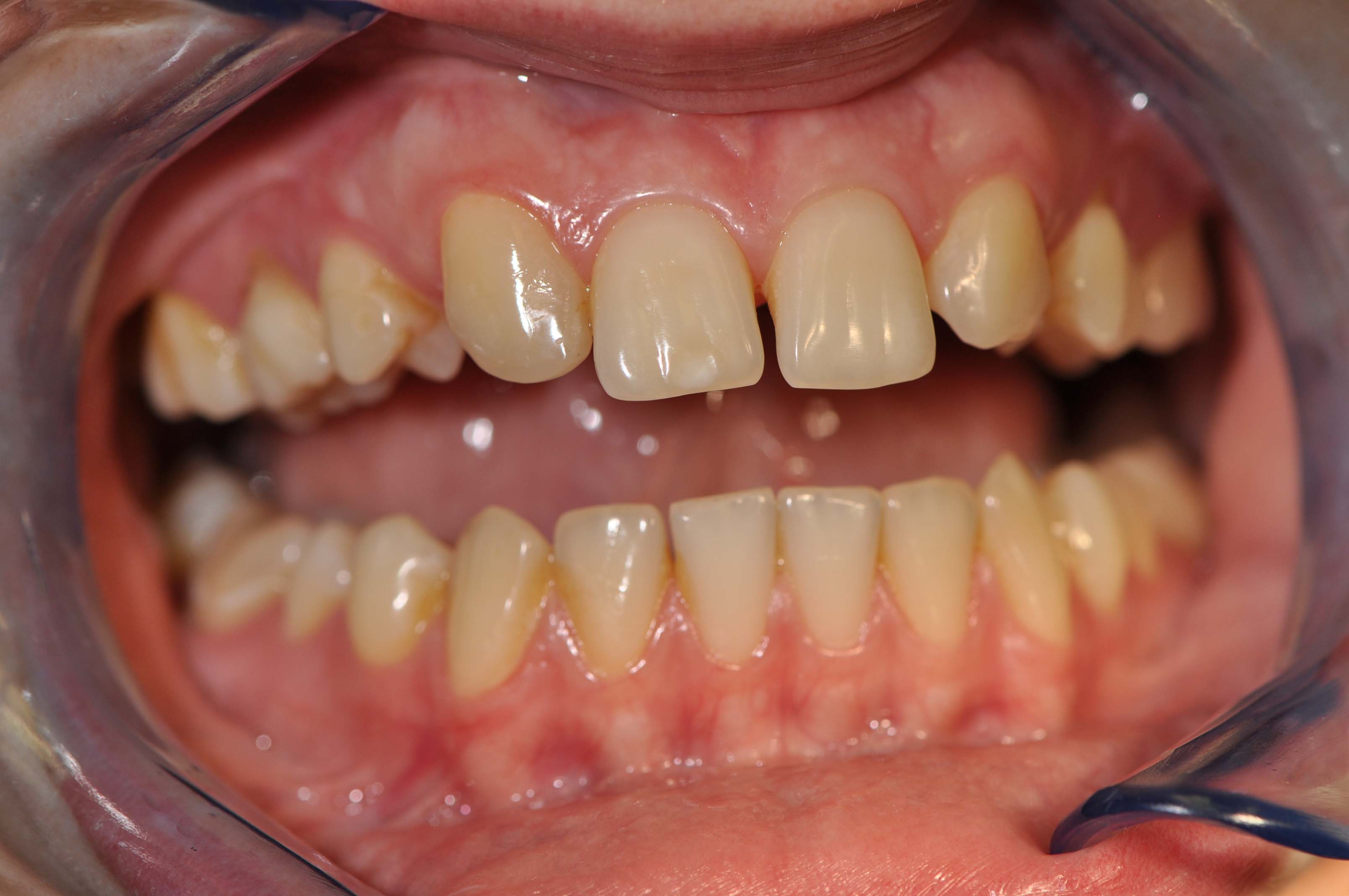
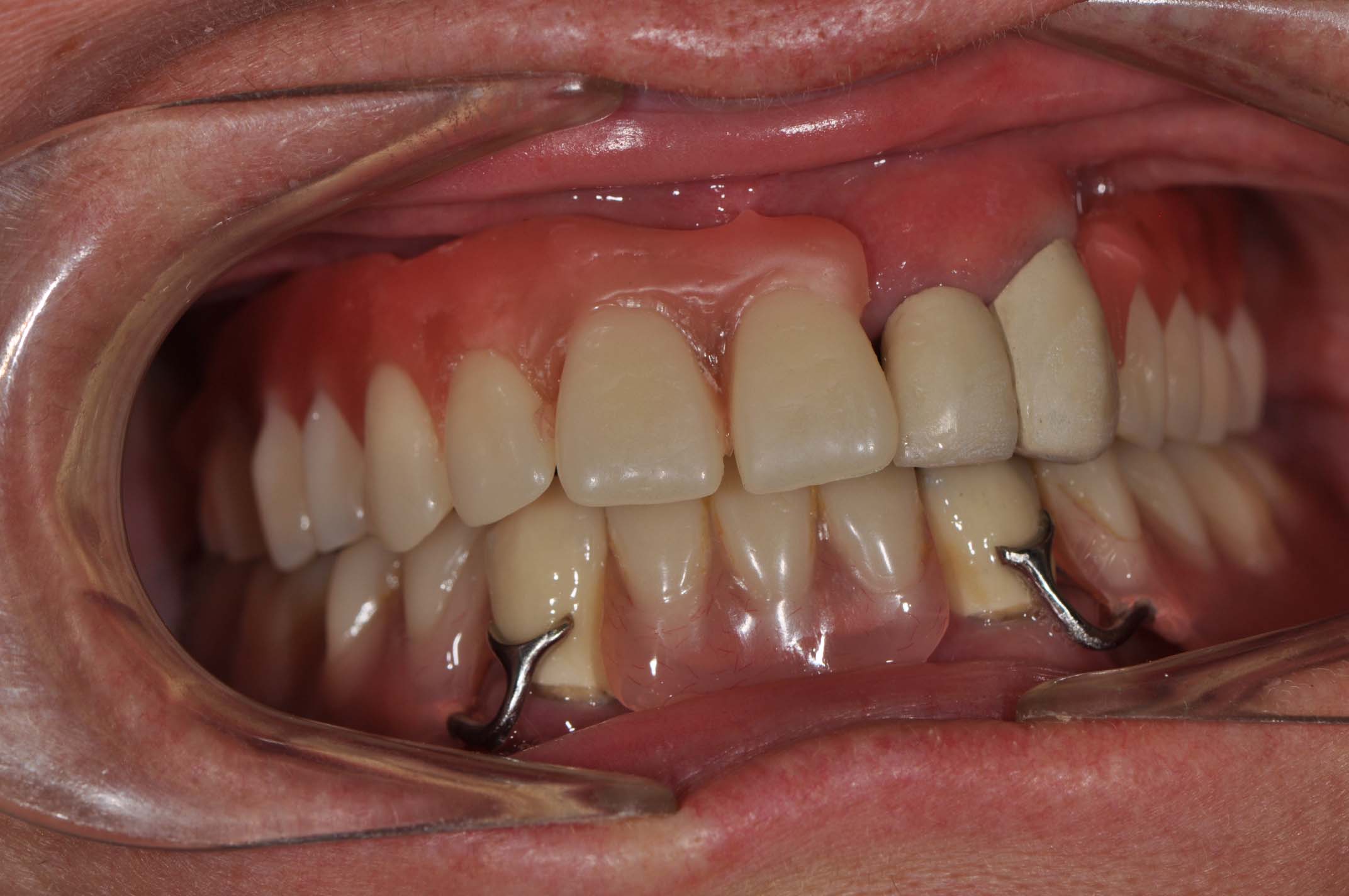
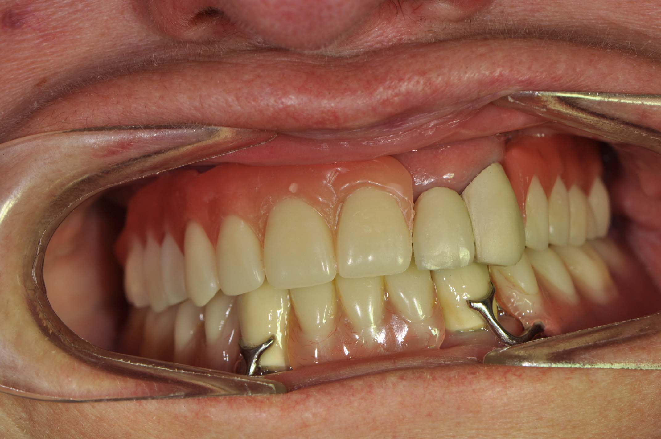
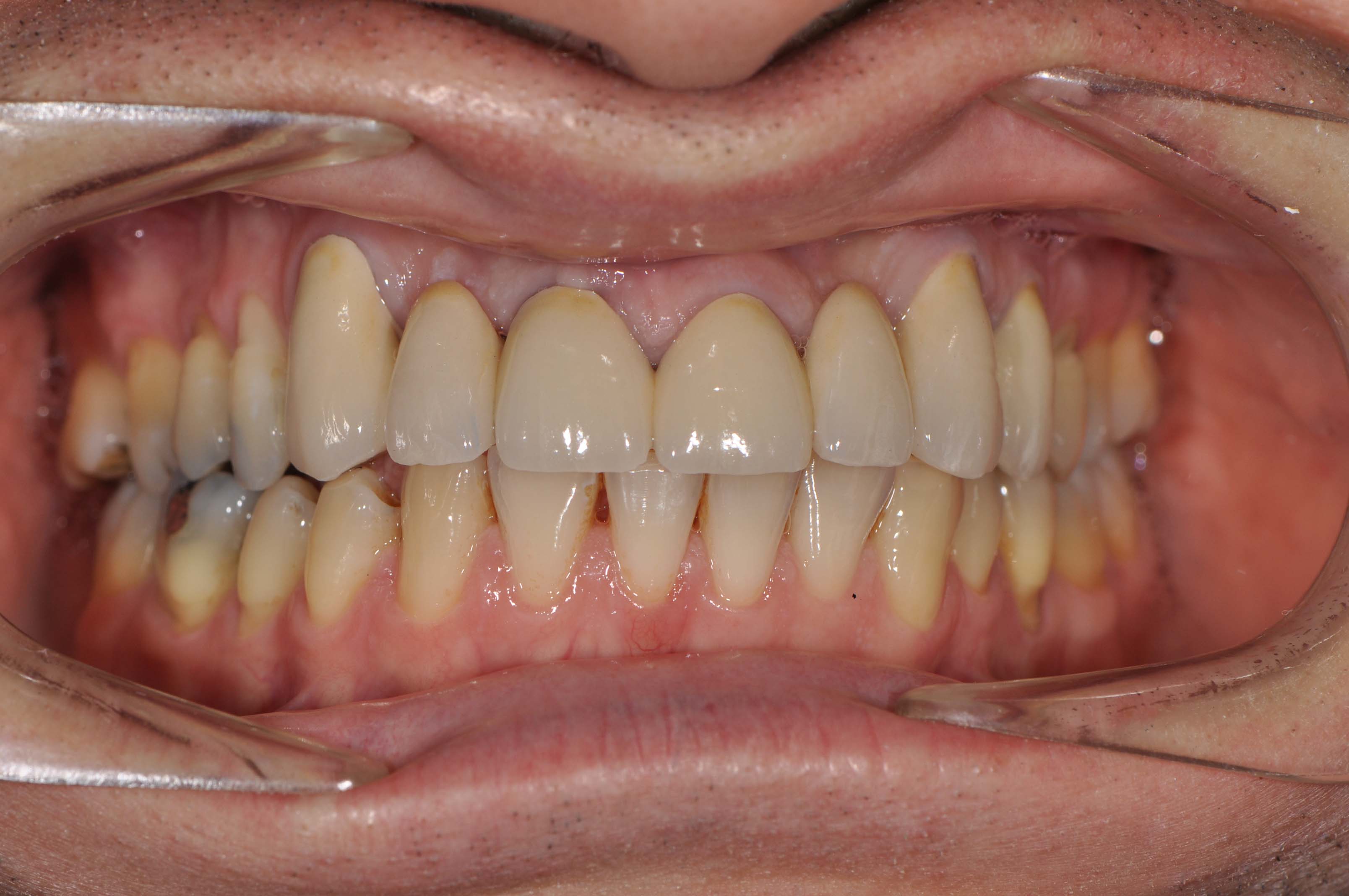
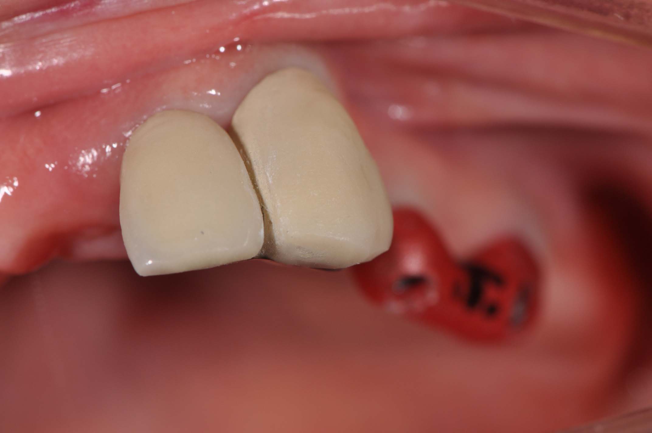
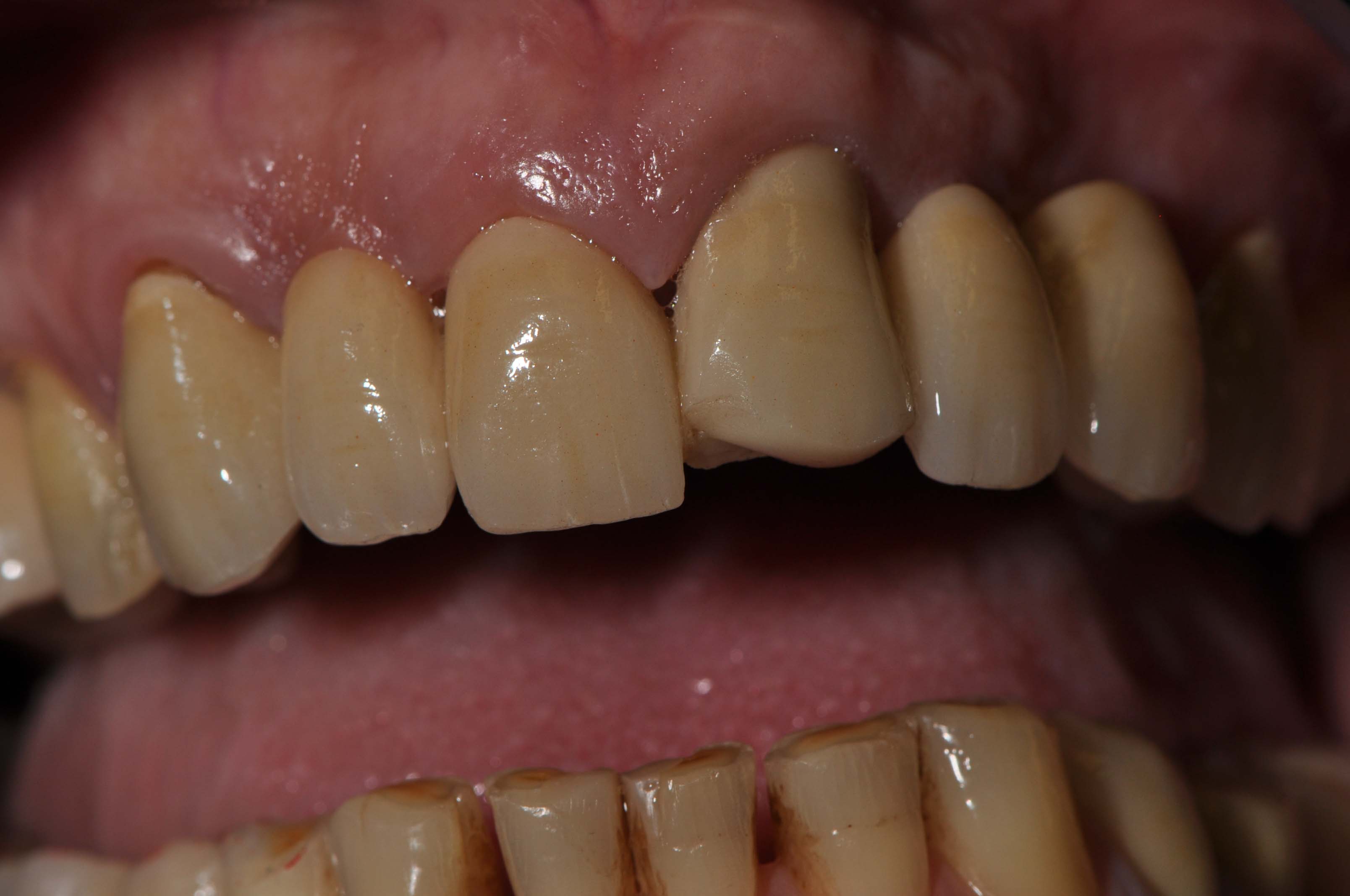
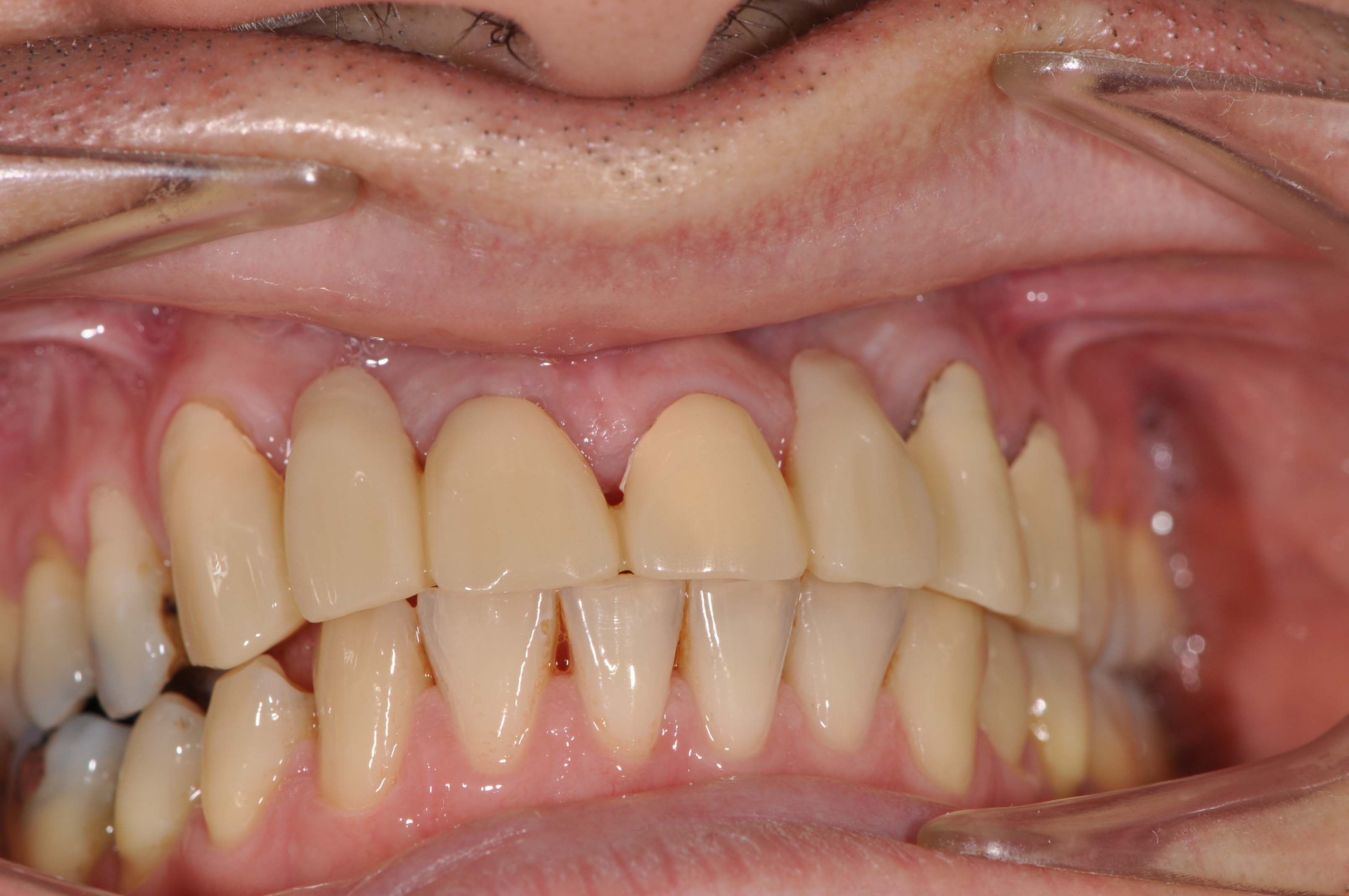
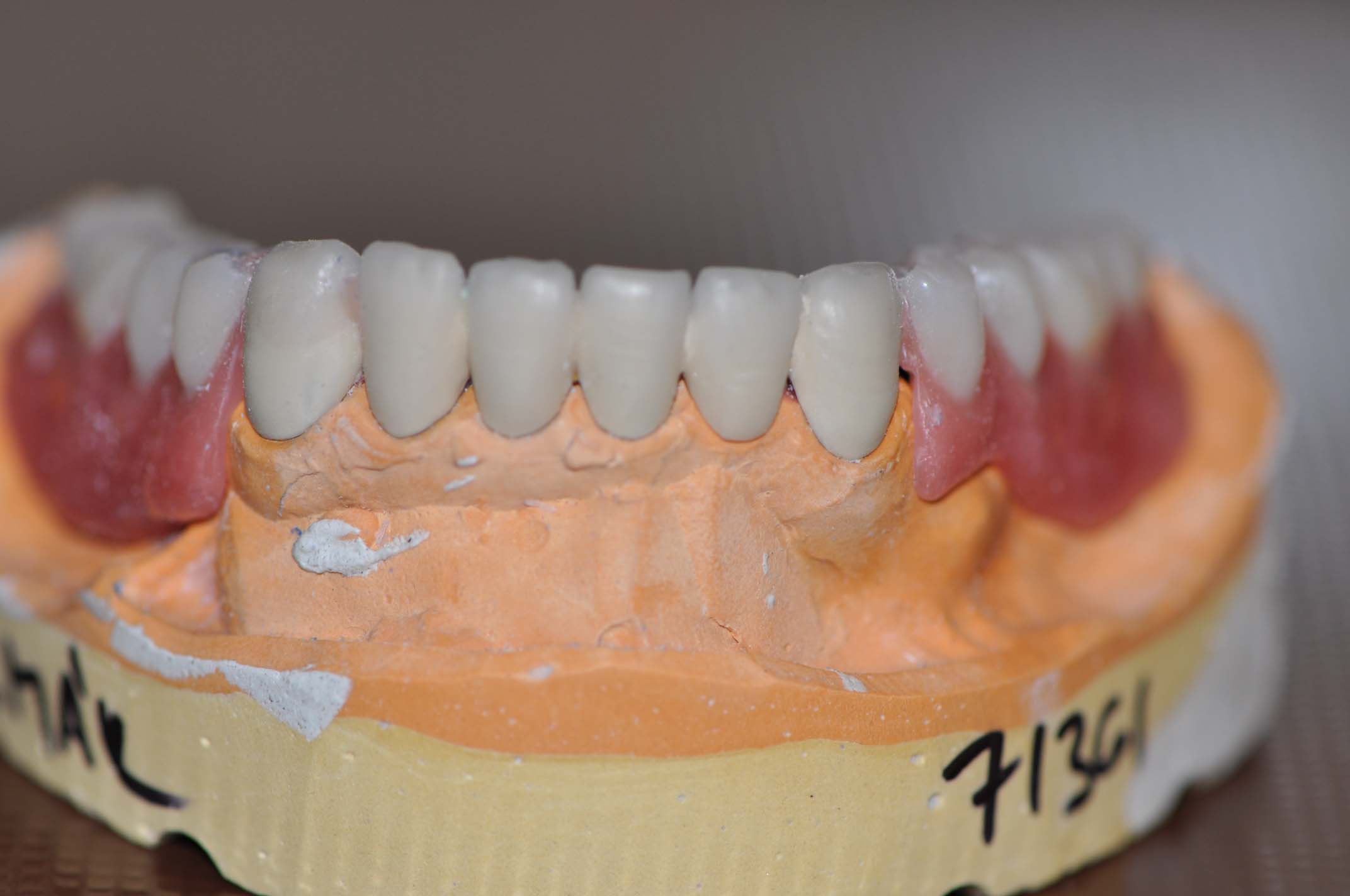
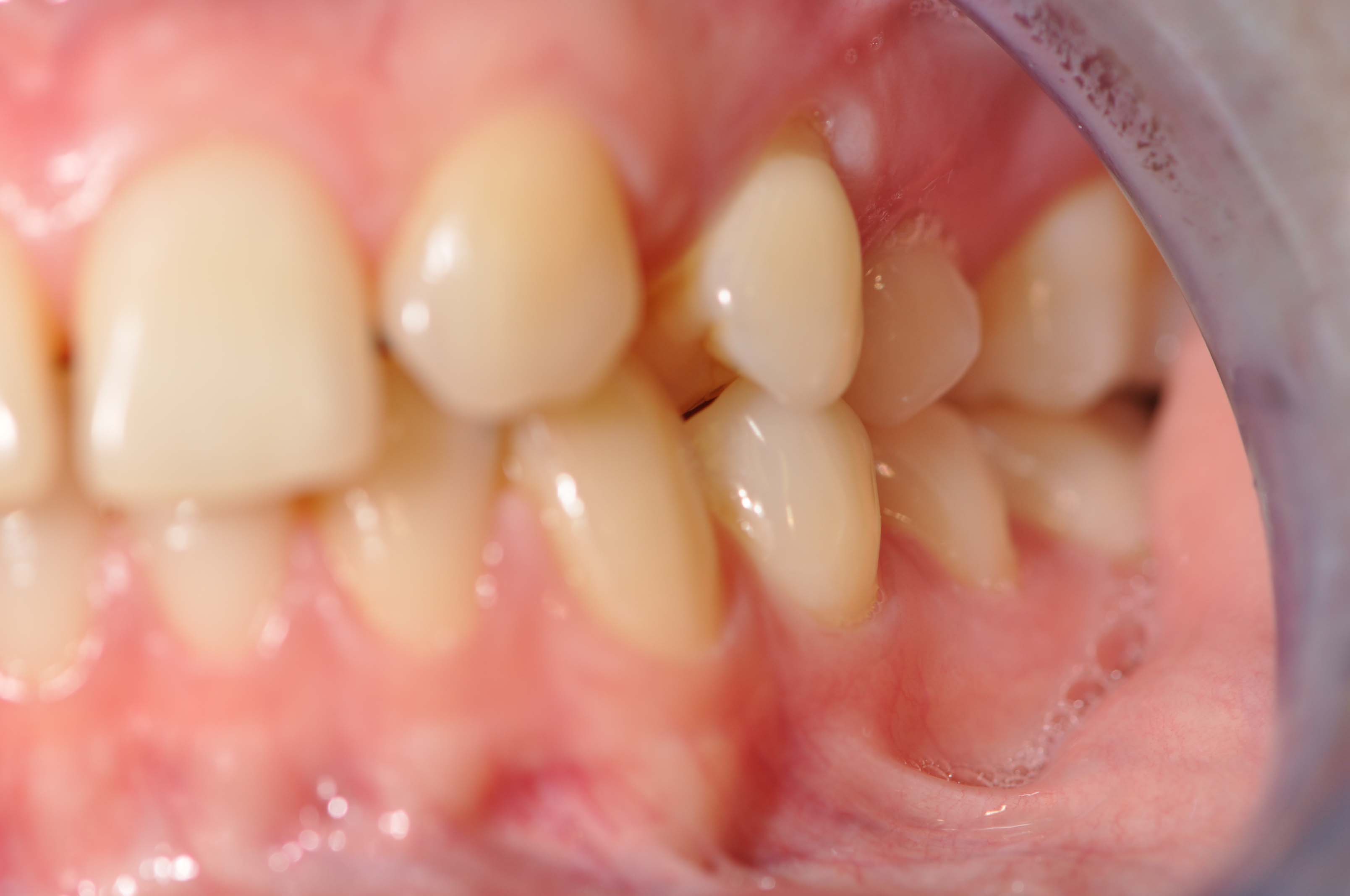
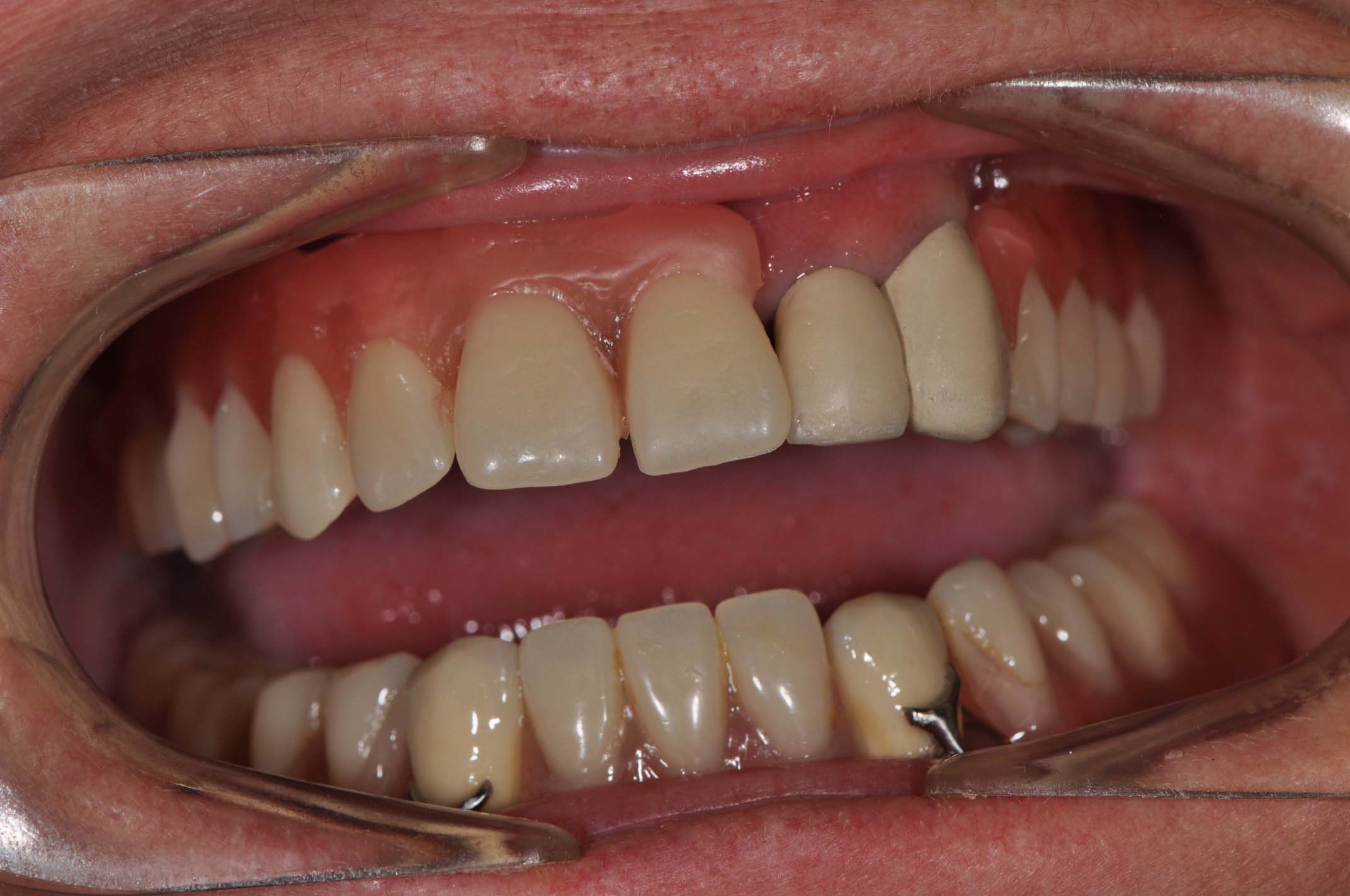
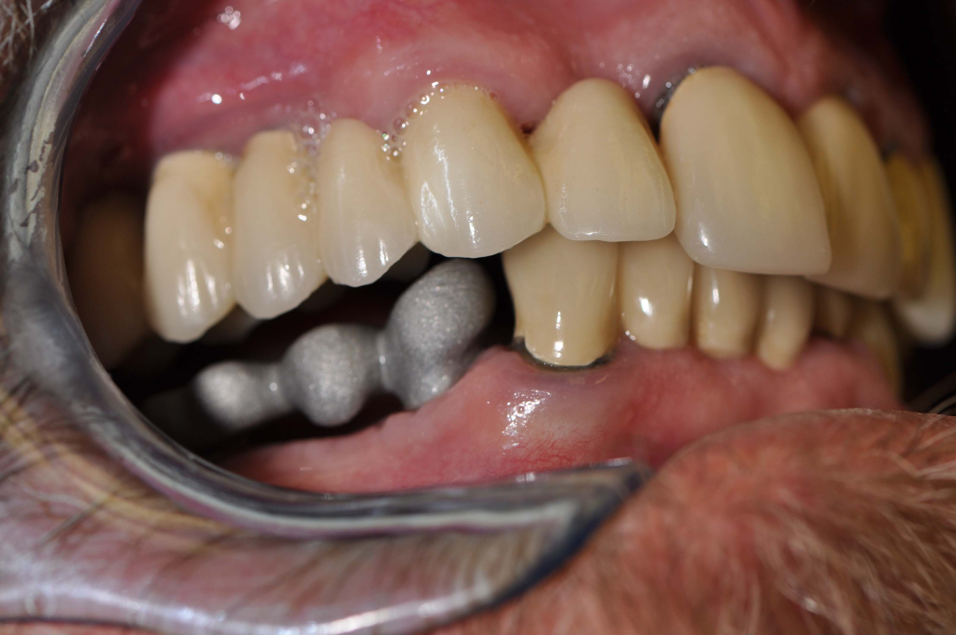
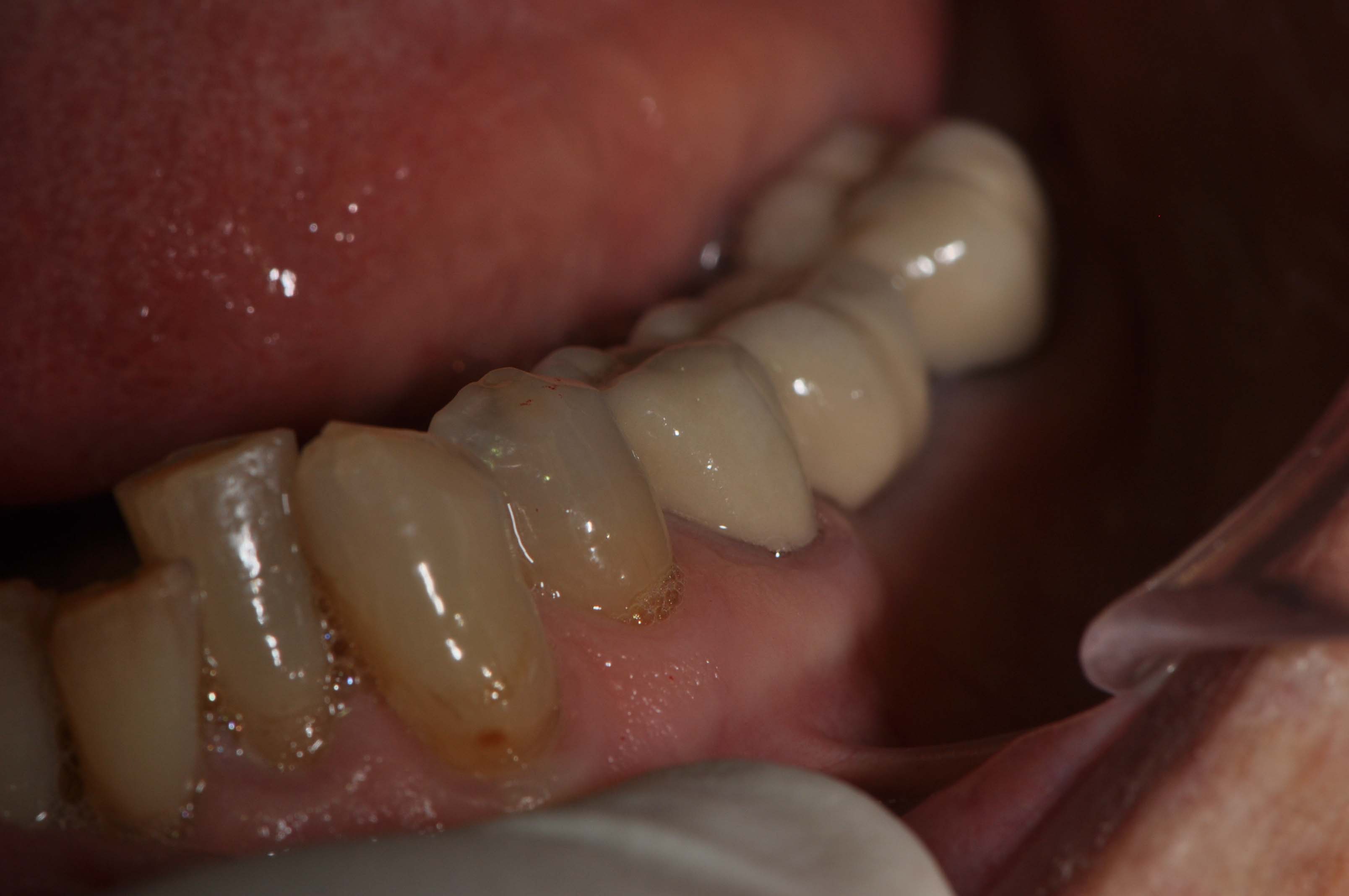
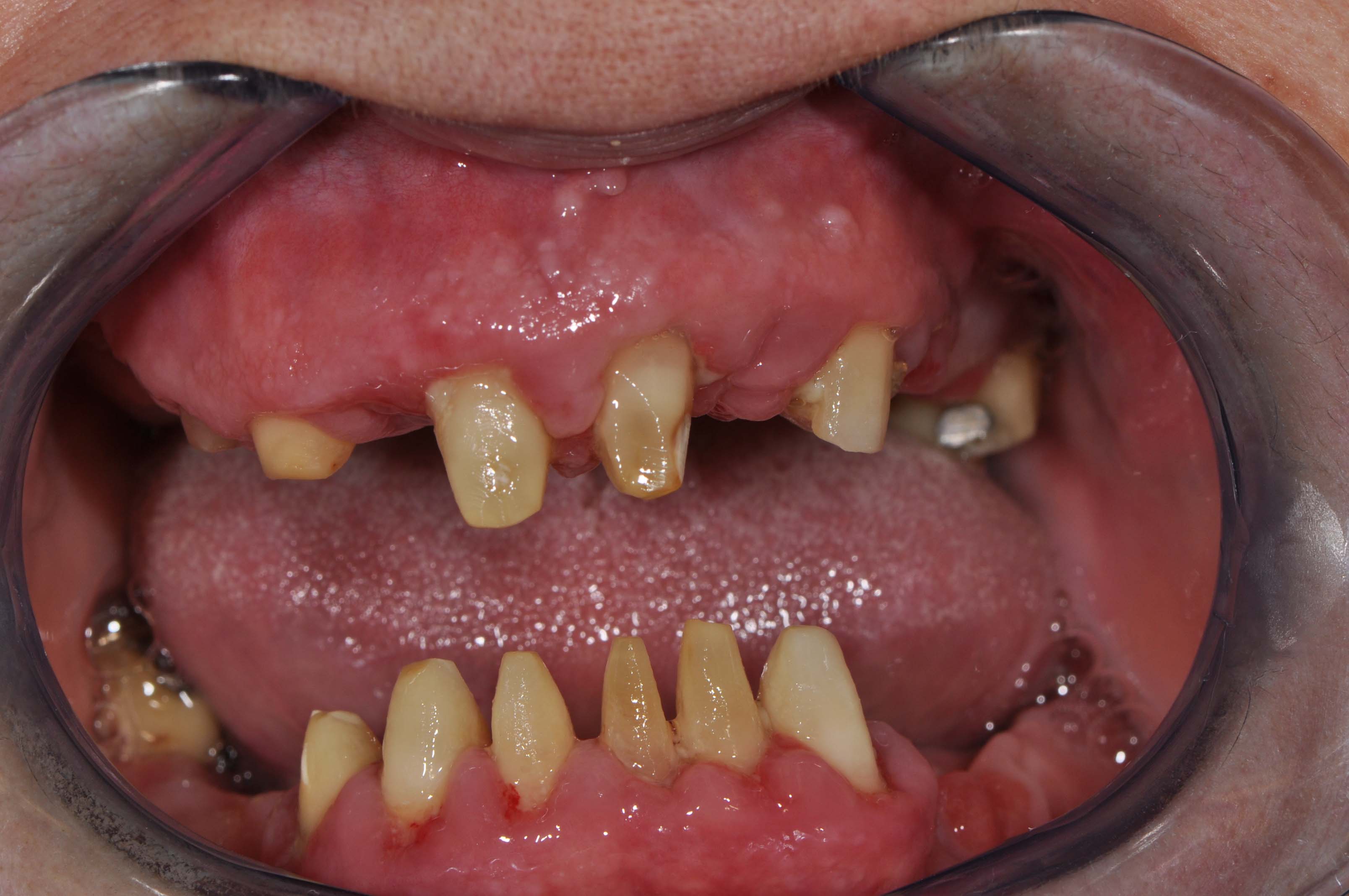
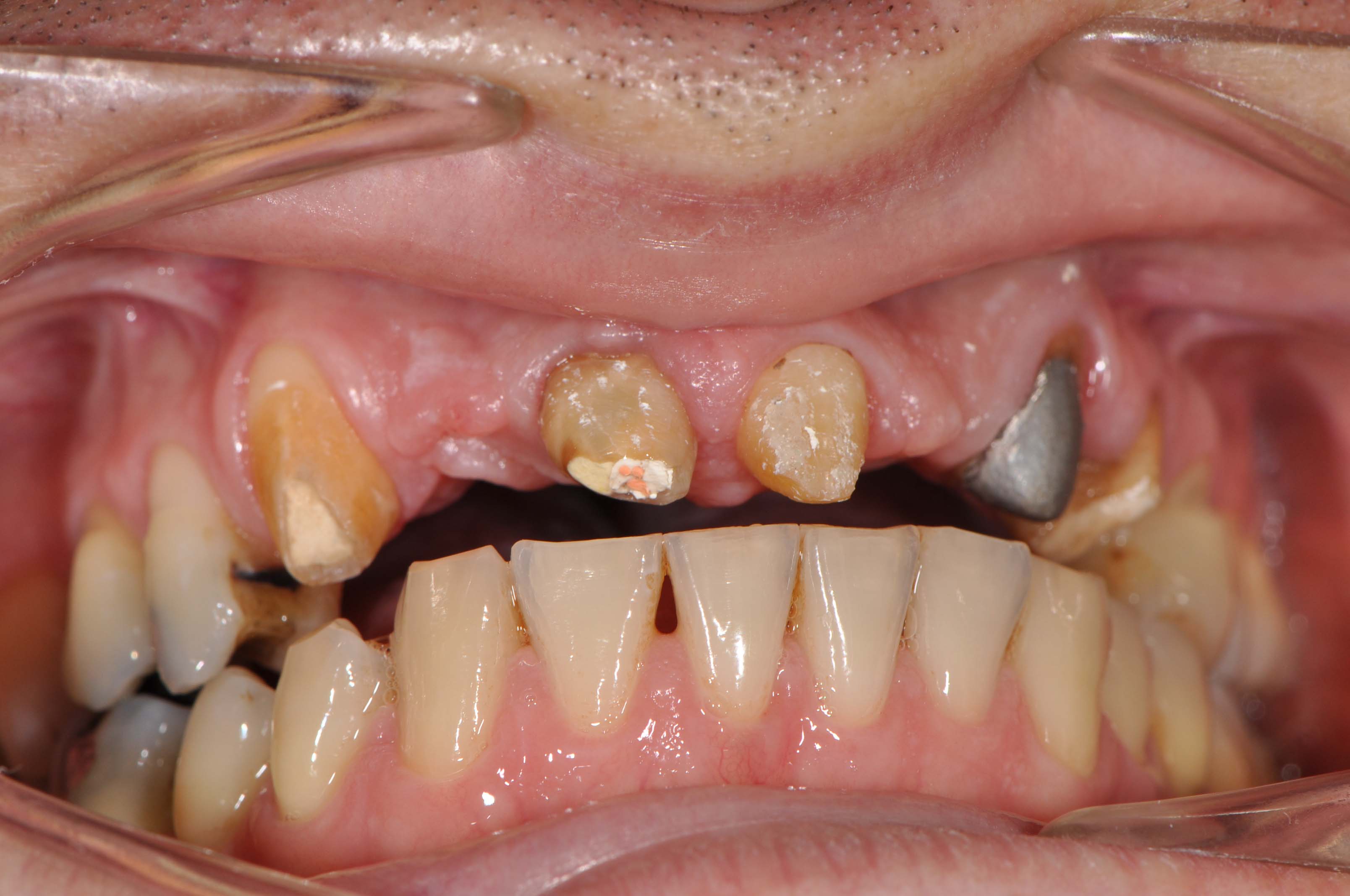
Ilyen volt, ilyen lesz
Kérjük tekintse meg munkáinkat, a teljesség igénye nélkül