IMPLANTÁTUM
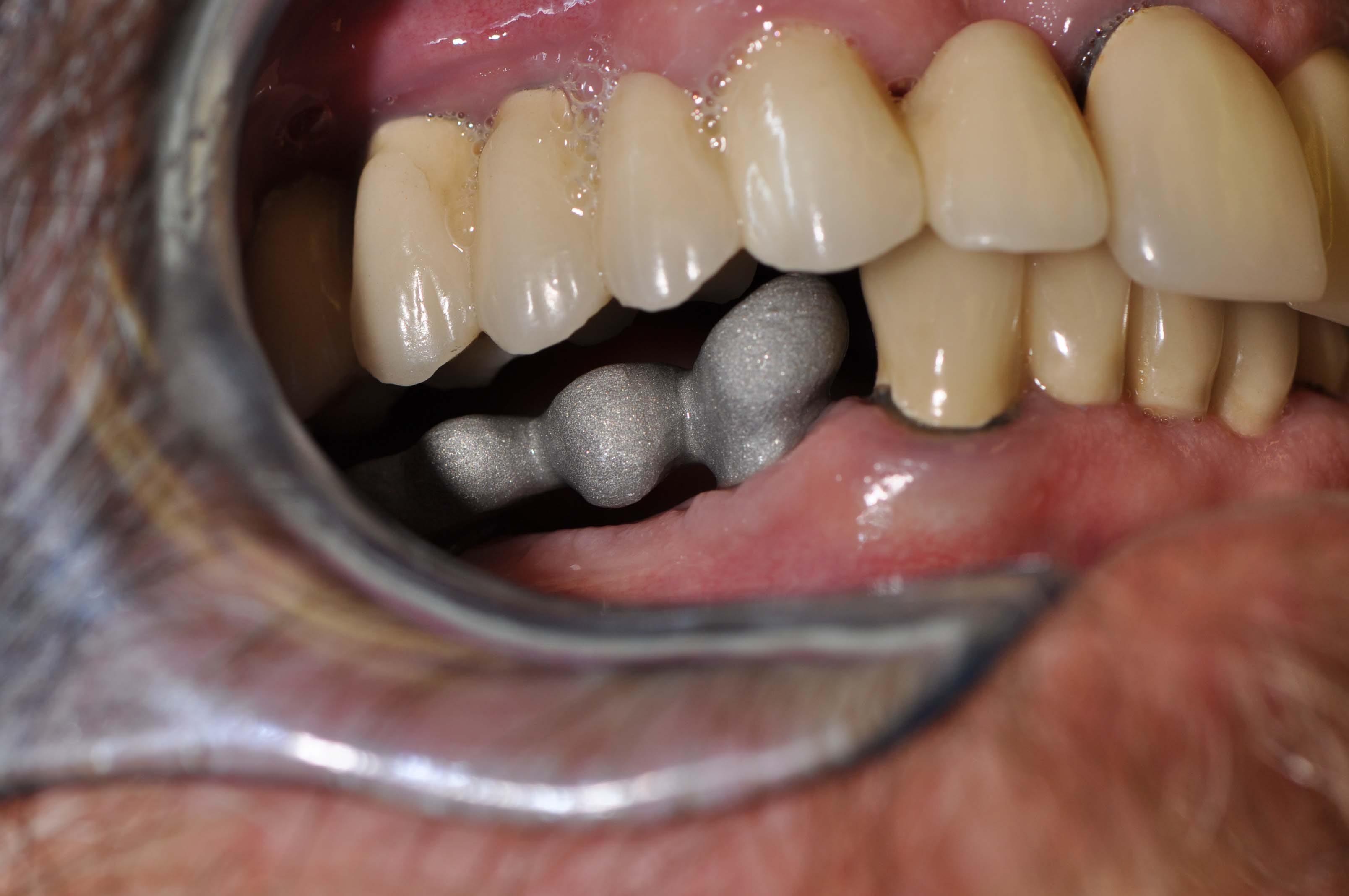
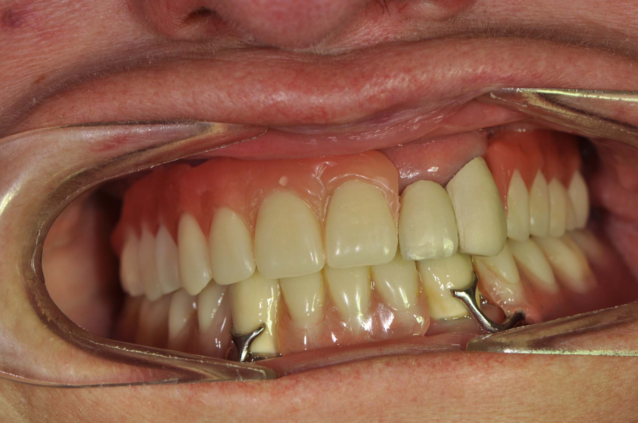
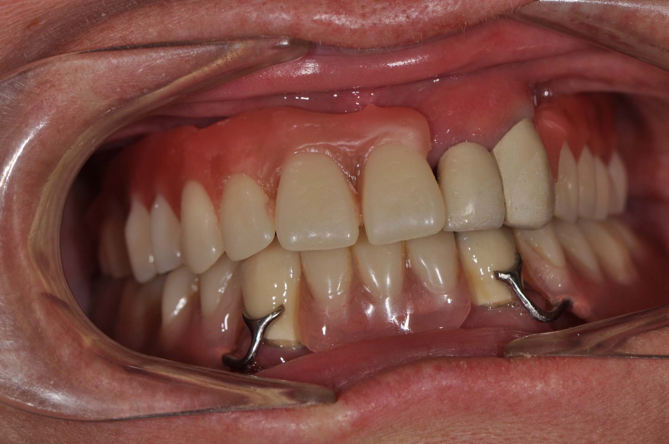
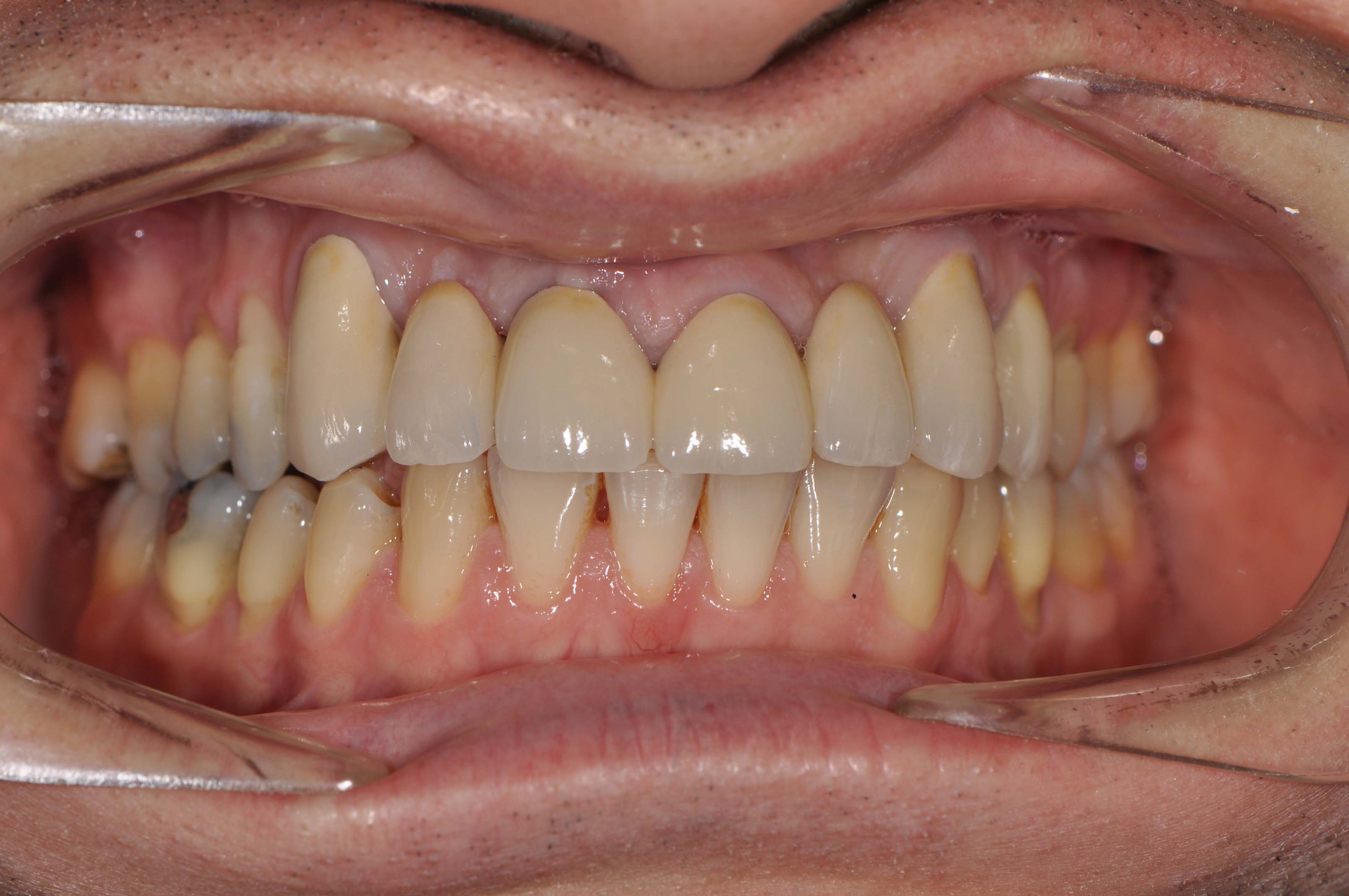
Az implantátumok mind az egyes fogak, mind a nagyobb foghiányok ellátásánál biztos pilléreket alkotnak, melyeken koronák és hidak biztonsággal és szilárdan elhelyezhetők.

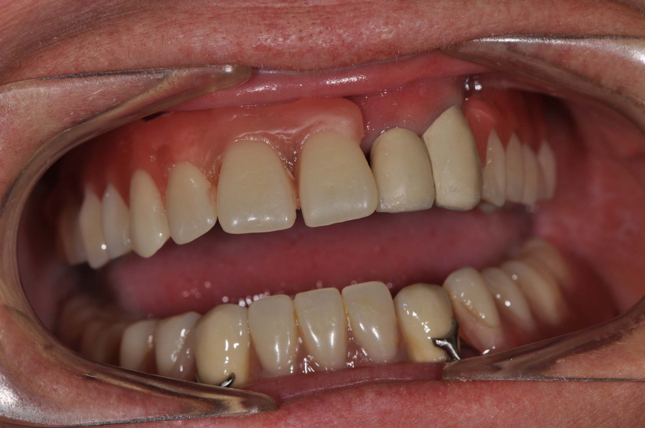
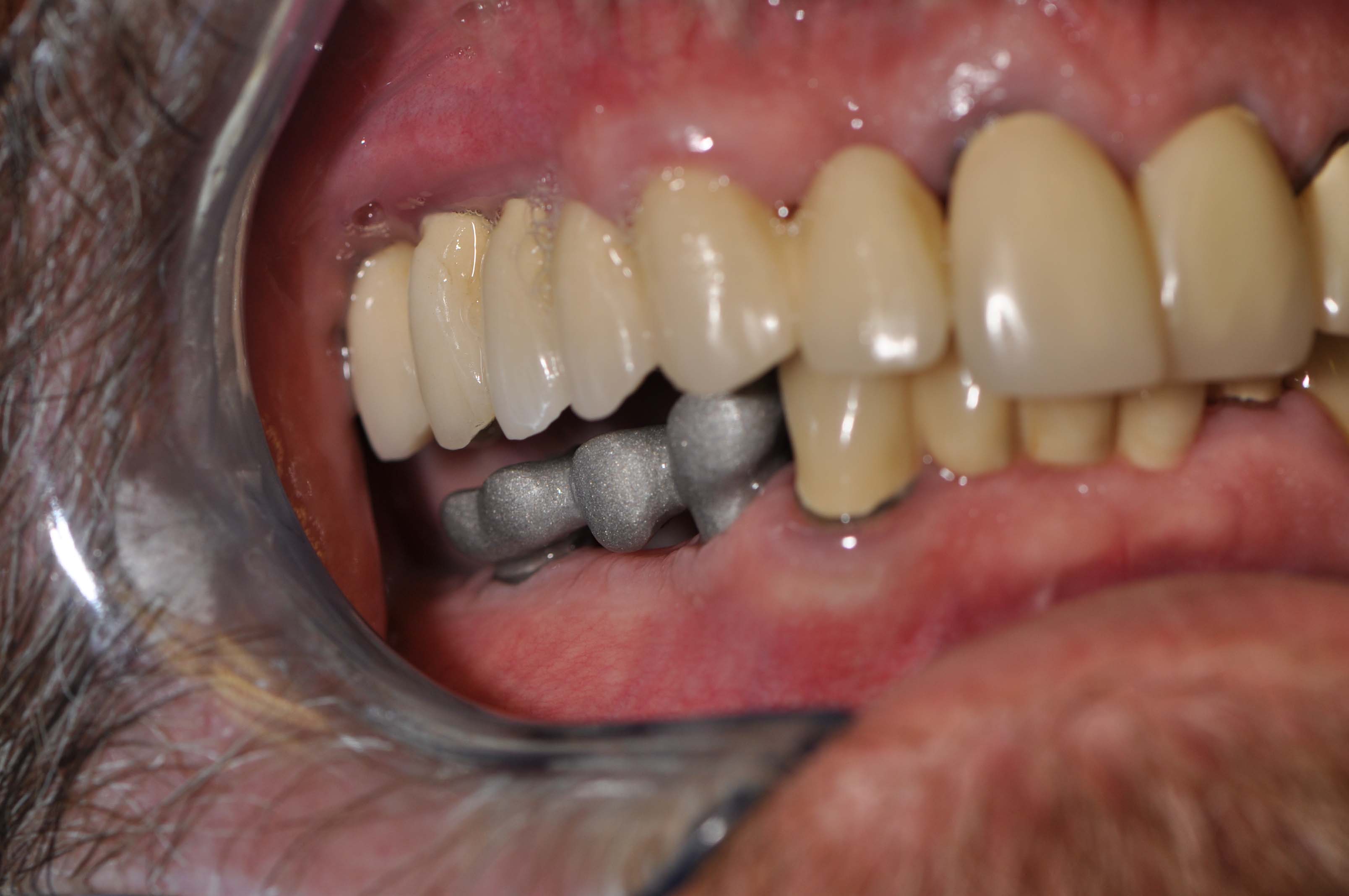
Az implantátumok mind az egyes fogak, mind a nagyobb foghiányok ellátásánál biztos pilléreket alkotnak, melyeken koronák és hidak biztonsággal és szilárdan elhelyezhetők.
Fogszabályozáskor a fogak vagy a fogívek rendellenes fejlődése esetén alkalmazunk kivehető illetve rögzített készülékeket

Szájsebész szakorvosunk ambuláns ellátásban, fájdalommentesen végez el különböző szájsebészeti beavatkozásokat.